장상피화생은 소화기계 질환 중 하나로, 소장의 점막에 염증이 생기는 질병입니다. 소화기계 질환 중에서도 많은 사람들이 경험하는 소화불량과 관련된 증상으로 주로 나타납니다. 위 내시경 검사에서 장상피화생이라는 진단을 받고 걱정하는 사람들이 많은데 여기에서는 장상피화생의 증상, 원인 및 치료법에 대해 자세히 알아보겠습니다.


장상피화생이란
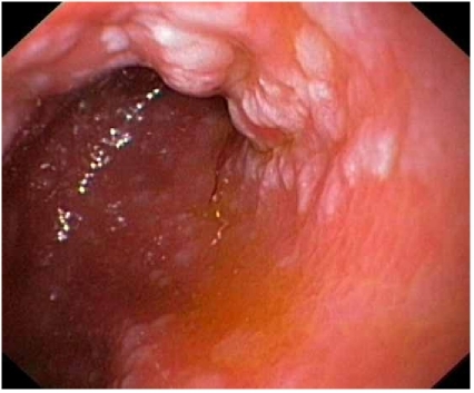
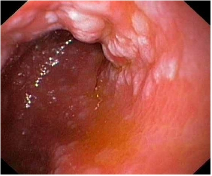
장상피화생은 위벽이 얇아지는 만성 위축성 위염을 방치하면 발생할 수 있는 질환으로서 망가진 위 점막이 다시 재생될 때 위 점막 세포가 아닌 소장이나 대장 점막 세포로 대체되는 현상을 말합니다. 위점막이 장점막처럼 바뀐걸 뜻하며, 이런 장상피 화생이 있는 경우 위암 발행 위험이 10배 높다고 알려져 있습니다.
장상피화생 증상
장상피화생의 주요 증상은 복부 통증, 설사, 변비, 복부 팽만 등입니다. 이러한 증상은 일상 생활에서 식사 후 악화되거나 스트레스 상황에서 악화될 수 있습니다. 특히, 식사 후 복부 통증이나 설사가 나타나는 경우에는 장상피화생 가능성이 높습니다. 또한, 복부 팽만이나 변비가 지속되는 경우에도 주의가 필요합니다. 그러나 이러한 증상만 가지고 장상피화생이라고 할 수 없고 위 내시경을 통하여 장상피화생의 발생여부를 확인하는 것이 좋다.

장상피화생 원인
장상피화생의 원인은 다양한 요인들이 연관될 수 있습니다. 아직 정확한 원인은 알려져 있지 않지만, 다음과 같은 요인들이 장상피화생의 발생과 관련될 수 있습니다. 여성보다 남성에게 더 흔히 발생하며, 연령이 높아 질수록 증가하는 추세를 보입니다.
1. 유전적 요인
가족 중에 장상피화생을 가진 사람이 있다면 유전적인 영향이 있을 수 있습니다. 유전자 변이나 유전적인 소장의 특성에 따라 장상피화생이 발생할 수 있습니다.
2. 환경 요인
환경 요인도 장상피화생의 원인으로 작용할 수 있습니다. 급격한 환경 변화나 생활 패턴의 변화는 소화기계에 영향을 줄 수 있으며, 이는 장상피화생의 발생과 연관될 수 있습니다.
3. 자가면역 반응
소장의 점막에 염증을 일으키는 자가면역 반응이 장상피화생의 원인이 될 수 있습니다. 면역 체계의 이상 반응으로 인해 소장의 점막이 염증을 일으키고 소화 과정에 이상을 초래할 수 있습니다.
4. 스트레스
스트레스는 장상피화생의 원인으로 작용할 수 있습니다. 급격한 스트레스 상황이나 지속적인 스트레스는 소화기계에 부정적인 영향을 줄 수 있으며, 장상피화생의 발생 가능성을 높일 수 있습니다.
5. 식습관
식습관도 장상피화생의 원인으로 작용할 수 있습니다. 지나친 양식, 불규칙한 식사, 과도한 알코올 섭취, 특정 식품의 과다 섭취 등은 소화기계에 부담을 줄 수 있고, 이는 장상피화생의 발생과 연관될 수 있습니다.
장상피화생 진단
장상피화생의 진단은 의료 전문가에게 의뢰하여 이루어집니다. 의사는 환자의 증상과 질병 경과를 종합적으로 평가하고, 필요한 검사를 시행합니다. 대표적인 검사로는 대장 내시경 검사, 조직 검사, 혈액 검사 등이 있습니다. 대장 내시경 검사를 통해 소장의 점막 상태를 직접 확인하고, 조직 검사를 통해 염증 유발 요인을 확인할 수 있습니다. 혈액 검사는 염증 마커나 면역 관련 지표를 확인하여 장상피화생의 가능성을 평가하는 데 도움을 줍니다. 정확한 진단을 위해서는 의료 전문가의 조언과 지침을 따르는 것이 중요합니다.
장상피화생 치료법
장상피화생의 치료법은 다양한 방법이 있습니다. 주로 약물 치료, 식이 요법, 스트레스 관리 등을 통해 증상을 완화시키고 재발을 예방할 수 있습니다. 약물 치료는 주로 염증을 억제하고 소장의 기능을 개선시키는 목적으로 사용됩니다. 또한, 식이 요법은 장상피화생 증상을 완화시키기 위해 일부 음식의 섭취를 제한하거나 특정 식품을 섭취하는 방법을 말합니다. 스트레스 관리는 일상 생활에서 스트레스를 관리하고 신체와 마음의 안정을 유지하는 것을 목표로 합니다.
그러나 장상피화생을 반드시 치료해야 하는 건 아니고 장상피화생 진단 후 헬리코박터 감염여부를 확인해 양성이면 제균치료를 해야 한다고 합니다. 장상피화생 전단계인 만성 위축성 위염의 경우 제균치료로 상태를 되돌릴 수 있는 것으로 알려져 있지만, 안따깝게도 한번 튀어나온 장상피화생은 다시 들어가지 않는다고 합니다.
아직 장상피화생에 대한 적절한 위내시경검사주기가 정해진 것은 아니지만 우리나라는 위암발병률이 매우 높다. 전문가들은 이를 고려해 장상피화생 진단 후에는 국가 암검진권고간격(2년)보다는 짧은 1년 간격으로 검사를 권고합니다.
피해야 할 음식들
장상피화생의 진단을 받은 경우 피해야 할 음식은 특정음식이 좋다거나 나쁘다고 단정할 수 없지만 짠 국물음식, 훈제식품, 베이컨 등 가공육과 절인 음식은 피하는 것이 좋습니다. 특히 가공육을 만들 때는 색과 보관기간 때문에 아질산염을 첨가하는데 음식의 특정성분과 결합해 발암물질인 나이트로사민을 생성한다고 알려져 있습니다. 조리음식도 상온에 하루 이상 방치하면 음식 속 질산염이 아질산염으로 바뀌기 때문에 남은 음식은 바로 냉장보관하는 것이 좋습니다.
마무리
장상피화생은 소화기계 질환으로, 복부 통증, 설사 등의 증상을 유발할 수 있습니다. 원인은 여러 가지 요인에 의해 발생할 수 있으며, 치료법은 약물 치료와 식이 요법을 중심으로 진행됩니다. 정확한 진단과 치료를 위해서는 의료 전문가의 상담이 필요합니다. 장상피화생을 경험하는 사람들은 일상 생활에서 식사 후 증상의 변화에 주의하고, 스트레스를 관리하며 건강한 식습관을 유지하는 것이 중요합니다.
관련글 더보기
가슴불편함, 어지러움, 피로 등 심장질환 경고 6가지 증상
건강한 삶을 추구하고자는 분들에게 오늘은 심장 건강에 대한 이야기를 나누고자 합니다. 심장 질환은 각 나라에서 가장 높은 사망 원인 중 하나로 꼽히고 있습니다. 그렇기에 우리는 심장 건강
222.jangtax.co.kr
몸이 말해주는 대장암의 10가지 신호들에 대해 알아보기
여러가지 암 중에서 한국인에게 흔해 세계적인 순위로도 1, 2위를 다투는 것이 대장암입이다. 여느 암 처럼, 대장암도 침묵의 암이라고 할 정도로 증상이 잘 안 나타나는 특징이 있습니다. 그러
222.jangtax.co.kr
자폐 스펙트럼 장애의 원인과 증상: 종합적으로 알아보기
자폐는 중추신경계의 발달 이상으로 인해 나타나는 심리적 장애 중 하나로, 개인의 사회적 상호작용 능력과 의사소통 기술에 영향을 미치는 상태입니다. 이 블로그에서는 자폐의 원인과 증상에
222.jangtax.co.kr
저탄고지에 대한 이해와 실천방법, 주의사항에 대해 알아보기
건강한 식습관과 다이어트에 관심이 높아지면서 '저탄고지'라는 용어가 많이 언급되고 있습니다. 저탄고지는 탄수화물 섭취를 제한하고 단백질과 지방을 중저량으로 섭취하는 식이법을 의미합
222.jangtax.co.kr
간 건강에 좋은 독소 제거를 돕는 영양 식품 TOP 10
건강한 삶을 유지하려면 올바른 식단이 필수적입니다. 특히, 우리 몸에 축적된 독소를 제거하고 간 건강을 증진시키는 데 도움을 주는 음식들은 매우 중요합니다. 여기에서는 독소 제거를 돕는
222.jangtax.co.kr
50대 이후 날씬한 복부 관리를 위해 해야하는 7가지 운동습관
여러분의 건강은 나이가 들어감에 따라 특히 중요한 이슈가 됩니다. 특히 50세 이후에는 복부 지방 관리가 전체적인 건강에 미치는 영향이 커집니다. 복부 지방은 단순한 미용 문제가 아니라 심
222.jangtax.co.kr
나이 들수록 체내염증·체중 낮추는 5가지 방법
통계에 따르면 나이가 들수록 체내 염증과 체중 증가는 불가피한 과정으로 여겨져왔습니다. 여기에서는 이러한 과정을 완화하고 예방하는데 도움이 될 수 있는 몇 가지 효과적인 방법들을 살펴
222.jangtax.co.kr
비타민 C 먹기 전에 꼭 확인해야 하는 TOP 6
비타민 C는 우리 몸에 필요한 중요한 영양소 중 하나로 알려져 있습니다. 그러나 이를 과다하게 섭취하거나 몇 가지 주의사항을 고려하지 않고 섭취할 경우 부작용이 발생할 수 있습니다. 따라
222.jangtax.co.kr
당뇨병 초기증상 6가지: 몸의 신호를 알아보고 조기 대응하자
당뇨병은 혈당 조절이 어려워지는 만성 질환이며, 초기에 적절한 대처가 필요합니다. 여기에서는 당뇨병 초기증상 중 6가지를 살펴보고, 이를 통해 몸이 보내는 신호를 캐치하여 조기에 대응하
222.jangtax.co.kr
'건강' 카테고리의 다른 글
| 건강검진에서 발견된 갑상선 낭종에 대해 알아보기 (1) | 2023.11.27 | 
|---|---|
| 손톱으로 확인하는 10가지 건강 이상신호 (1) | 2023.11.23 | 
| 바르는 탈모약 미녹시딜 로게인폼 효과 등에 대한 Tip (0) | 2023.11.21 | 
| 프로테오글리칸의 의미와 효능 및 부작용 (0) | 2023.11.16 | 
| 위축성 위염 증상, 원인, 치료법에 대해 알아보기 (1) | 2023.11.14 | 
 
										
									 
										
									 
										
									