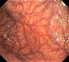
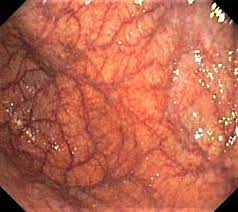
위축성 위염 정의
위의 표면인 점막이 만성 염증으로 얇아진 상태로 만성 위염의 가장 흔한 형태 중 하나이다. 내시경에서 위 점막이 얇아졌다고 특별한 건강 또는 소화 기능에 문제가 생기는 것은 아니며, 이는 전 국민의 10% 이상이 갖고 있을 정도의 흔한 형태이므로 질병이라고 볼 수 없다. 그러나 만성 위염은 위의 점막이 얇아진 상태로 다양한 증상을 유발할 수 있으며, 증상에 따라 치료 방법이 달라질 수 있다. 따라서 만성 위염을 관리하고 증상을 완화하기 위해서는 적절한 의료 지도를 받아야 한다.

위축성 위염 원인
일반적으로 만성적인 헬리코박터 파일로리 감염으로 인해 위 표면의 점막 세포가 위축된 상태입니다. 감염 기간이 길어지고 연령이 증가함에 따라 위염이 점차 진행됩니다.
1) 헬리코박터 감염
헬리코박터 감염은 위축성 위염의 주요한 원인 중 하나입니다. 만약 헬리코박터 감염이 치료되지 않는다면, 계속해서 위에서 만성적인 염증을 유발합니다. 만성적인 염증이 계속되면 위축성 위염이나 장상피 화상 같은 합병증을 일으킬 수 있습니다. 이러한 이유로 헬리코박터 감염의 조기 치료와 예방이 매우 중요합니다.

2) 환경적인 요인
위축성 위염의 진행은 환경과 음식 요인이 어느 정도 관여한다고 생각됩니다. 이러한 관여는 위염의 발생과 진행에 중요한 역할을 할 수 있습니다. 환경 요인으로는 공기의 오염 정도, 주변 환경의 청결도 등이 있을 수 있습니다. 또한 음식 요인으로는 식습관, 식품의 종류 및 품질 등이 영향을 줄 수 있습니다. 이러한 요인들은 위축성 위염의 발생과 진행에 복합적으로 작용할 수 있으며, 개인의 건강 상태에 따라 그 영향 정도는 다를 수 있습니다. 따라서 위축성 위염 예방 및 관리를 위해서는 이러한 환경과 음식 요인들을 고려하여 적절한 대책을 마련하는 것이 중요합니다.
3) 자가면역성 요인
위의 벽세포에 대한 혈중 자가항체(parietalcellantibody)가 존재하는 경우 자가면역성 위축성 위염이 발생할 수 있다. 이는 소화기계의 중요한 부분인 위에 영향을 미치는 질환으로, 비타민 B12 흡수 부전 및 악성빈혈 등과 관련이 있다. 자가면역성 위축성 위염은 위의 벽세포에 대한 면역체계의 과도한 반응으로 인해 발생한다. 이러한 면역반응은 위의 벽세포를 파괴하고 소화액의 분비를 억제하여 소화기능을 저하시키는 결과를 초래할 수 있다. 또한, 자가면역성 위축성 위염은 소화기계의 기능을 저하시키는 것 외에도 다른 합병증을 유발할 수 있다. 따라서, 위의 벽세포에 대한 혈중 자가항체의 존재는 위의 건강과 관련하여 중요한 역할을 한다는 것을 알 수 있다. 이를 통해 자가면역성 위축성 위염에 대한 이해를 높이고, 적절한 예방 및 치료를 위해 주의를 기울여야 한다.
위축성 위염 증상
위축성 위염 자체는 특별한 증상을 유발하지 않습니다. 그러나 내시경 검사 중에 우연히 발견될 수 있습니다. 이 질환이 발생하는 이유에는 여러 가지가 있을 수 있으며, 가장 흔한 원인은 위산의 역류입니다. 위산이 식도로 역류하여 염증이 발생하고, 이로 인해 위의 점막이 손상될 수 있습니다. 이러한 질환은 일차적으로 내시경을 통해 진단되며, 치료 방법에는 약물 치료와 생활습관 개선이 포함될 수 있습니다. 따라서, 위축성 위염은 잠재적으로 심각한 합병증을 유발할 수 있는 질환이며, 조기 발견과 적절한 치료가 중요합니다.

진단/검사
위내시경검사를 통해 진단하며, 검사 중 시행한 조직검사를 통해 심한 정도를 판정한다. 그러나 조직검사를 통한 진단 방법은 시간과 비용 등의 이유로 위축성 위염의 발견이 아닌 위암을 발견하는 것을 목적으로 한다. 따라서 실제 임상에서는 내시경을 이용한 육안 소견을 기반으로 하여 위축성 위염의 유무를 평가한다. 이러한 평가 방법은 환자의 편리성과 비용 효율성을 고려하여 선택된다. 또한, 내시경을 통해 진단할 수 있는 다른 위 질환들도 함께 확인할 수 있다. 따라서 위내시경검사는 다양한 정보를 제공하여 진단의 정확성을 높이는 중요한 도구로 사용된다.
치료
특별한 치료가 필요하지 않지만 위암 발생률이 높을 수 있으므로 1~2년마다 위내시경 검사를 받는 것이 좋습니다. 이외에도, 헬리코박터 제균치료를 고려할 수 있으며, 제균치료로 인한 위암 억제 효과는 초기에 시행할수록 크기 때문에 가역적인 단계에서 시행하는 것이 좋습니다. 이렇게 함으로써 위암 예방에 도움이 될 것입니다.
경과/합병증
합병증이 발생하는 경우는 매우 드물지만 10년 이상의 오랜 기간 동안 지속되는 경우, 정상인에 비해 위암의 발생률이 2~4배 정도 증가한다. 이러한 합병증은 종종 위 점막이 장 점막의 형태로 바뀌는 장상피화생와 함께 발생할 수 있다. 위암이 발생할 수 있는 위험 요인과 예방 방법에 대해 더 자세히 알아보면 중요하다. 자신의 건강을 지키기 위해 규칙적인 검진과 건강한 식습관을 유지하는 것이 중요하다. 건강한 삶을 위해 신중한 선택을 하는 것이 필요하다.
식이요법/생활가이드
특별한 식이 요법은 필요하지 않습니다. 그러나 맵고 자극적인 음식을 섭취하거나 음주, 흡연, 아스피린 등의 약물을 복용하는 것은 위축성 위염을 더 악화시킬 수 있습니다. 따라서 이러한 섭취나 복용을 자제하는 것이 좋습니다. 또한, 식이 요법 외에도 건강한 생활습관을 유지하는 것이 위염을 예방하고 개선하는 데 도움이 될 수 있습니다. 식이 요법을 따르지 않더라도 적절한 식단 조절과 규칙적인 운동을 통해 건강을 유지해야 합니다.

관련글 더보기
가슴불편함, 어지러움, 피로 등 심장질환 경고 6가지 증상
건강한 삶을 추구하고자는 분들에게 오늘은 심장 건강에 대한 이야기를 나누고자 합니다. 심장 질환은 각 나라에서 가장 높은 사망 원인 중 하나로 꼽히고 있습니다. 그렇기에 우리는 심장 건강
222.jangtax.co.kr
몸이 말해주는 대장암의 10가지 신호들에 대해 알아보기
여러가지 암 중에서 한국인에게 흔해 세계적인 순위로도 1, 2위를 다투는 것이 대장암입이다. 여느 암 처럼, 대장암도 침묵의 암이라고 할 정도로 증상이 잘 안 나타나는 특징이 있습니다. 그러
222.jangtax.co.kr
자폐 스펙트럼 장애의 원인과 증상: 종합적으로 알아보기
자폐는 중추신경계의 발달 이상으로 인해 나타나는 심리적 장애 중 하나로, 개인의 사회적 상호작용 능력과 의사소통 기술에 영향을 미치는 상태입니다. 이 블로그에서는 자폐의 원인과 증상에
222.jangtax.co.kr
저탄고지에 대한 이해와 실천방법, 주의사항에 대해 알아보기
건강한 식습관과 다이어트에 관심이 높아지면서 '저탄고지'라는 용어가 많이 언급되고 있습니다. 저탄고지는 탄수화물 섭취를 제한하고 단백질과 지방을 중저량으로 섭취하는 식이법을 의미합
222.jangtax.co.kr
간 건강에 좋은 독소 제거를 돕는 영양 식품 TOP 10
건강한 삶을 유지하려면 올바른 식단이 필수적입니다. 특히, 우리 몸에 축적된 독소를 제거하고 간 건강을 증진시키는 데 도움을 주는 음식들은 매우 중요합니다. 여기에서는 독소 제거를 돕는
222.jangtax.co.kr
50대 이후 날씬한 복부 관리를 위해 해야하는 7가지 운동습관
여러분의 건강은 나이가 들어감에 따라 특히 중요한 이슈가 됩니다. 특히 50세 이후에는 복부 지방 관리가 전체적인 건강에 미치는 영향이 커집니다. 복부 지방은 단순한 미용 문제가 아니라 심
222.jangtax.co.kr
나이 들수록 체내염증·체중 낮추는 5가지 방법
통계에 따르면 나이가 들수록 체내 염증과 체중 증가는 불가피한 과정으로 여겨져왔습니다. 여기에서는 이러한 과정을 완화하고 예방하는데 도움이 될 수 있는 몇 가지 효과적인 방법들을 살펴
222.jangtax.co.kr
비타민 C 먹기 전에 꼭 확인해야 하는 TOP 6
비타민 C는 우리 몸에 필요한 중요한 영양소 중 하나로 알려져 있습니다. 그러나 이를 과다하게 섭취하거나 몇 가지 주의사항을 고려하지 않고 섭취할 경우 부작용이 발생할 수 있습니다. 따라
222.jangtax.co.kr
당뇨병 초기증상 6가지: 몸의 신호를 알아보고 조기 대응하자
당뇨병은 혈당 조절이 어려워지는 만성 질환이며, 초기에 적절한 대처가 필요합니다. 여기에서는 당뇨병 초기증상 중 6가지를 살펴보고, 이를 통해 몸이 보내는 신호를 캐치하여 조기에 대응하
222.jangtax.co.kr
'건강' 카테고리의 다른 글
| 바르는 탈모약 미녹시딜 로게인폼 효과 등에 대한 Tip (0) | 2023.11.21 | 
|---|---|
| 프로테오글리칸의 의미와 효능 및 부작용 (0) | 2023.11.16 | 
| 탈모와 스트레스와의 관계에 대해 알아보기 (0) | 2023.11.10 | 
| 탈모와 유전자의 연관성에 대해 알아보기 (0) | 2023.11.09 | 
| 단백질이 부족할 때 몸에 나타나는 6가지 증상에 대해 알아보기 (0) | 2023.11.08 | 
 
										
									 
										
									 
										
									